全瓷牙是目前的修复体,外表是美观自然的,不容易出现黑线等情况,所以受到了很多人的喜爱,在如今时代,牙齿美观成为大家正在追求的魅
大多数人的眼中,牙齿美观在如今越来越被看重。因此全瓷牙修复牙齿成为目前牙齿问题患者常用的方式。它不仅给大家带来美观的牙齿。还让
现在的生活中,由于人们时刻的不注意,会导致各类疾病的发生。对于牙齿有缺陷的人来说,选择适合自己的修复方式来改善,全瓷牙就是不错
有的人可能会误以为,全瓷牙就是烤瓷牙,但事实却并非如此,二者其实差别还是很大的。单单从价格上来说就可以看出这点。下面我们就来看
现在较受欢迎的烤瓷牙就是全瓷牙了,它具有很多传统烤瓷牙不具有的优势。由于全瓷牙的价格要稍贵些,因此众多求美者对全瓷牙的使用寿命
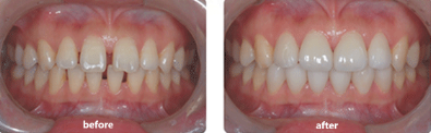
现在进行牙齿修复,很多求美者都会选择全瓷牙,但是对于一些求美者来说,做全瓷牙效果怎么样,做全瓷牙好看吗?始终是一个问题。 对
在线预约
医生团队
在线QQ
来院路线
种植中心
矫正中心
修复中心
牙周中心
儿童齿科
美白中心
检测中心
口腔健康