全瓷牙可以说是烤瓷牙中的贵族,那么很多患者可能都会问到同样一个问题,全瓷牙的使用寿命是多久?那么让我们一起听一下维乐口腔医生对
相信有很多人都把全瓷牙和烤瓷牙归为一类,认为这两种没什么区别。事实却不是这样的,从这两种的价格上就可以看出这一点。一般全瓷牙的
当牙齿需要进行修复的时候,人们选择做全瓷牙是很不错的,但是随着科技的不断发展,现在的全瓷牙种类是很多的,为了能够保证好效果,大
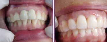
全瓷牙有什么优势?随着时代的不断更新,美牙的方式也是越来越多样化,常用的方式有牙齿漂白、洗牙、陶瓷牙等,但是他们好像吧都不能的
做完全瓷牙怎么护理好 ,这个问题与很多方面都存在一定的关联,维乐口腔医生建议,好能定期(半年到一年)请医生检查全瓷牙的使用情况
全瓷牙也是修复牙齿其中的一种方法,能够很好的恢复牙齿的美观和功能,全瓷牙作为一种修复手段,但不是每个人出现牙齿情况,都可以使用
在线预约
医生团队
在线QQ
来院路线
种植中心
矫正中心
修复中心
牙周中心
儿童齿科
美白中心
检测中心
口腔健康