DENTAL IMPLANTS
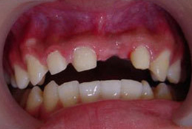
很多人认为牙齿掉了几个没有关系,所以一直迟迟不去修补,然而牙齿缺失会给咀嚼功能和外貌带来影响,同时会影响邻牙,导致松动,甚至脱
牙齿缺失可以不修补吗?我们经常看到一些缺牙的患者长期牙齿缺失而不去修补,中家医家庭医生口腔医师说到,牙齿缺失长期不修补的话会对
关于种植牙,很多人认为补完牙之后就完事了,也没有什么需要操心的了。这么想可就错大了,补牙后也会出现不适感,补牙后如果不好好护理
牙齿缺失不仅影响咀嚼,更影响美观和身体健康,因此及时修复才是佳策略。如今,补充缺失的牙方式有很多,种植牙则是目前有效的一种,种
种植牙已经成为牙缺失的理想修复方式,越来越多的市民开始认可种植牙。据调查显示,种植牙被称为人类的第三副牙齿,其美观、方便、舒适
种植牙可以解决缺牙、外观、等烦恼而且咀嚼都跟真牙无差使用方便,安全舒适稳固,使用时间长久而传统活动假牙,磨损健康好牙,借用好牙
在线预约
医生团队
在线QQ
来院路线
种植中心
矫正中心
修复中心
牙周中心
儿童齿科
美白中心
检测中心
口腔健康