龋齿治疗会疼吗?
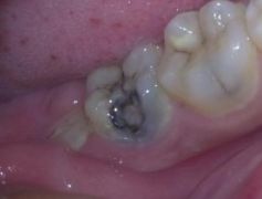
龋齿治疗疼不疼,是要看具体情况的,不能一概而论。龋齿治疗一般通过补牙填充治疗,补牙需要先做窝洞制备,制备完成后需要对窝洞进行全面的清洁处理,那么这个过程是不会有疼感的。只有在深度龋齿的情况下,需要做根管治疗,这会导致患者疼痛。

龋齿的治疗根据程度不同方式也不同,轻度龋齿通过补牙治疗即可,不会有痛感。但严重的龋齿需要做根管治疗。根管治疗需要清除牙神经,因此痛感较为剧烈。
通过以上的介绍,相信您对此有了相对的了解。如果您还有其他的疑问,欢迎您直接点击在线咨询,我院医生会详细为您解答。

当前位置:








