常见的烤瓷牙材料有哪些?
一、非金属烤瓷牙:这主要就是复合树脂烤瓷牙。
复合树脂烤瓷牙价格较低,修复能力一般,与瓷的结合度不高,容易脱落或出现崩瓷等现象。>>>烤瓷牙有什么优点?在线咨询
二、金属烤瓷牙:它又分为贵金属和非贵金属两种。
贵金属烤瓷牙强度大,耐腐蚀性强,化学性能稳定、不易被氧化,并且生物相容性较好,而且与瓷的结合度也较高,不同材料的价格不等,主要有黄金烤瓷牙、铂金合金烤瓷牙等贵金属烤瓷牙。>>>洛阳怎样才能延长烤瓷牙的寿命
非贵金属烤瓷牙耐腐蚀性能较强,与瓷的结合度较好,但是其中有些材料的生物相容性较差,容易出现过敏现象,并且还会引起牙龈变色和口腔毒性,影响人体健康。价格较便宜,是很多平民的较好选择。
三、全瓷牙:这是一种既好看又实用的镶牙修复体。
全瓷牙的内冠是瓷,是一种透明的骨架,它的层次、色泽较接近真牙,对光线的反射更接近天然牙。而且它不含金属,对牙龈无影响,基本上不会对人体产生过敏。要算缺点的话,就是价格较高,甚至比有些贵金属的价格还要高。>>>全瓷牙价格?咨询
维乐口腔的医生提示患者:烤瓷牙并非越贵越好,不同的烤瓷牙也有不同的适应症。在维乐,医生会根据您牙齿的状况、您的要求结合医生的专业意见来综合考虑,给出较合适的治疗方案。>>>我要做烤瓷牙!免费<量身定制修复方案>&<在线咨询>
烤瓷牙价格?
1、预算有限?只求结实、耐用?
如果您是这么想的,那么钴铬合金烤瓷牙[参考价格]是你较好的选择。钴铬合金是较常用的非贵金属烤瓷牙,价格比较经济实惠。虽然价格低,但不代表就差,其固位力能满足正常咀嚼;出现牙龈炎、黑线等问题的几率也很小。但因内部是金属黑色,看上去有些发青,比较适合用来修复后牙。[价格查询]
2、安全!可靠!还要美观!
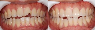
全瓷牙[参考价格]必然能满足你的这些要求,全瓷牙顾名思义,不含任何金属,完全采用高硬度瓷材料。因此有着真牙一样的外观和透光度,不会对口腔造成任何问题,可以说是目前医学能达到的较好的烤瓷牙了。维乐口腔斥巨资引进瓷睿刻系统,1小时左右就能让你从无到有,装上全瓷牙。[维乐全瓷牙优惠月]
维乐全瓷牙:烤瓷牙的完美升级!
维乐口腔采用的全瓷牙吸取了各种美牙技术的长处,突破传统美牙冠的弊端,将德国VITA比色技术,微痛技术和口腔内窥镜数码定位有机结合起来,真正做到美牙微痛苦、不拔牙、时间短(前后来院两次,间隔七天,每次1小时左右可以达到美牙的效果)、牙齿坚固、多年后牙齿不出现黑线等优点,能达到终生有保障的牙齿美容效果,一经推出便得到了广大美齿者的追捧,成为目前上较受欢迎的美齿项目。>>>去维乐口腔做烤瓷牙好吗?在线咨询
适应症:√ 龅牙√ 老鼠牙√ 氟斑牙√ 牙齿拥挤√ 牙齿不齐√ 虎牙√ 地包天√ 畸形牙√ 牙齿稀疏√ 歪牙√ 牙齿缺损等——[相似症状!立即咨询]
友情提示:维乐口腔医院是一家全国连锁口腔品牌,拥有35城超100家医院及门诊。如果您还有什么不明白的可以点击【在线咨询】和我们的在线咨询医生进行一对一的沟通,或拨打我们的24小时热线电话:400-9988-068。

当前位置:










