ORTHODONTICS
关于成年人牙齿矫正的费用?拥有一口整齐健康的牙齿是所有人都期盼的,牙齿不齐、牙齿拥挤等等牙齿畸形问题可以选择牙齿矫正拥有编贝美
人们生活的质量逐步在提高,对牙齿的美观的也在随之增高。所以成人牙齿矫正治疗已经变得非常普遍了。那么,成人牙齿矫正的特点有哪些呢
成人牙齿拥挤怎么矫正?拥有一口整齐健康的牙齿、露出清新美丽的笑容是每一个人所追求的,可如今不少人被牙齿拥挤所苦恼和困惑着。那么
牙齿矫正技术针对未成年人修复效果好,未成年的牙槽骨正处于发育时期,通过的外力的矫正能够很好的改变牙齿与牙齿之间的位置,牙齿相互
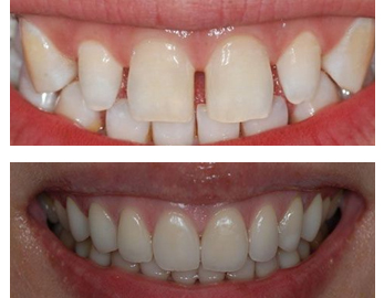
维乐口腔专家介绍说,治疗门牙缝隙的方法众多,在不同的地区,不同的消费水平下,治疗门牙缝隙的价格会有所不同。治疗门牙缝隙贵不贵?
谁都想拥有一口健康美观的牙齿,但是还是有很多朋友深受牙齿稀疏的困扰,那么,牙齿稀疏该怎样改善,牙齿稀疏该怎么治疗?我们就看看维乐
在线预约
医生团队
在线QQ
来院路线
种植中心
矫正中心
修复中心
牙周中心
儿童齿科
美白中心
检测中心
口腔健康