牙齿美白常常成为人们口腔议论的话题,特别是很多人都有自己特有的偏方。有些的确具有一些效果,而有些偏方不仅没有效果,还容易对自己
生活在高氟区的人们会长出氟斑牙,这是氟摄入过量影响了牙齿,严重的话还会造成氟骨病。在牙齿发育时期摄入过多的氟,是导致氟斑牙
很多有色素牙问题的患者都会非常担心自己的形象受此影响,所以在遇到色素牙问题后一定要及时的进行治疗。比如说氟斑牙是会使得我们的
氟斑牙是非常影响个人形象的一种色素牙问题,很多氟斑牙患者的牙齿都会发黄并且时间长了还会造成疾病出现影响健康,而对于氟斑牙很多
氟斑牙是一种比较常见的内源性色素牙,主要是水质引起的牙齿变色。轻度氟斑牙会导致牙齿变色,重度氟斑牙会导致牙釉质发育不全。所以
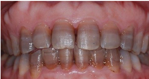
小时候牙齿长出来没多久就发黄了,长大后试着洗牙美白,但洗牙就是洗不白。医生说我的牙齿是水质引起的,我这种黄牙是不是氟斑牙呢?
在线预约
医生团队
在线QQ
来院路线
种植中心
矫正中心
修复中心
牙周中心
儿童齿科
美白中心
检测中心
口腔健康