牙列不齐会严重影响一个人的容貌、气质。对嘴型和脸型也有一定的影响,而且让人会因为牙齿排列不整齐而表现得不够自信,不仅不敢笑,就
牙齿半口缺失要注意什么?牙列不齐会严重影响一个人的容貌、气质。对嘴型和脸型也有一定的影响,而且让人会因为牙齿排列不整齐而表现得
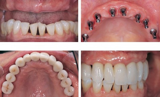
牙齿对我们是至关重要的,牙齿的功能不单单只是咀嚼,它在发音过程中也起到了辅助作用,缺失了一两颗都是会给口腔带来危害的,何况是半
拥有一口健康的牙齿是每个朋友的心愿,现在很多人都开始关注自己的牙齿健康。整齐的牙齿能够让你增添外表分,给人留下深刻的印象,然
牙齿的缺失的爱美者们所不能够容忍的,而弥补遗憾的好办法就是安装义齿,在众多牙齿修复方法中,要说接近天然牙的修复方法就非种植牙莫
齿缺失不仅影响咀嚼,给健康也带来了很大的危机感,因此及时修复才是佳策略。如今,补充缺失的牙方式有很多,种植牙则是目前有效的一种
在线预约
医生团队
在线QQ
来院路线
种植中心
矫正中心
修复中心
牙周中心
儿童齿科
美白中心
检测中心
口腔健康