缺少牙齿会给生活造成许多不便,会影响面部美观,加重心理负担,容易形成自卑、抑郁等负面情绪。那么,牙缺失的原因有哪些呢?下面就为
随着年龄的增长,不少人可能会面对牙齿缺失越来越严峻的情况,多颗牙齿缺失不仅影响牙齿正常功能的发挥,还会危害身体的健康。一些人因
牙齿缺失的情况并不少见,那么,在生活中如何预防牙齿缺失问题呢? 牙列完整的重要性 多数人只知道眼睛对人的外貌很重要,却不知
对于面部问题,我们越来越关注,但是对于口腔问题却不够关心,有些人还是认为缺一两颗牙并不会有多大影响,我们很多人的牙齿都有松动乃
不论从哪个方面,牙齿缺失了一定要及时补上。千万不要忍一时,拖一时,后,不但毁了健康还毁了容!我国成年人群达到口腔卫生良好指标的
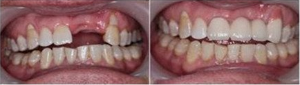
牙齿缺失,确实给不少人带来了诸多不便,影响了正常的生活工作以及外在形象。牙列缺失修复前必须对口腔进行详细检查,按照实际情况,充
在线预约
医生团队
在线QQ
来院路线
种植中心
矫正中心
修复中心
牙周中心
儿童齿科
美白中心
检测中心
口腔健康