全瓷牙美牙优势好在哪?全瓷烤瓷牙突出的特点是外观逼真,全瓷牙采用的全瓷材料制作,不含任何金属,与空气水或者其他电解物接触时会迅
全瓷牙修复有哪些适应症呢?全瓷牙修复已被广大人群所知晓,目前来看,大家对此也比较熟悉了。全瓷牙修复是目前好的牙齿修复方法,全瓷
全瓷牙的保养方法是什么?我们都知道,无论患有什么疾病,病后一定要注意护理。一些患者因为牙齿问题,选择用全瓷牙进行修复。同时,还
全瓷牙种类怎么看?维乐口腔医院医师表示:全瓷牙的种类有很多。大多数人选择全瓷牙做牙齿矫正修复。希望自己的畸形牙能够矫正修复好。
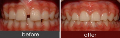
全瓷牙修复牙齿无后顾之忧。美,是外在的,需要随时随地的彰显和炫耀,一口洁白整齐的牙齿,一脸自信的微笑,迎面走来,挥洒而去。是什
做全瓷牙有后遗症吗?就目前来看,大家对全瓷牙已经有了相应的了解。随着患者对修复效果的美观度要求越来越高,全瓷牙做为烤瓷牙中很好
在线预约
医生团队
在线QQ
来院路线
种植中心
矫正中心
修复中心
牙周中心
儿童齿科
美白中心
检测中心
口腔健康