FILL TOOTH
补牙材料随着口腔健康教育的不断普及,越来越多的人意识到,牙齿缺损问题会导致严重的口腔疾病。医生表示:如果牙齿出现缺损,不仅影响
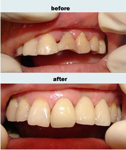
补牙的费用大概是多少?补牙是很常见的牙科项目之一,需要补牙的爱美人士都比较关心补牙的费用大概是多?对于这个问题可以看看以下内容
种植牙是目前公认的能和真牙相似度高的牙齿,因此当缺失牙齿后,很多人会选择种植牙修复,因为牙齿长期缺失对口腔内环境造成的影响很大,并且
种植牙因为其使用时间长、形态逼真等特点逐步成为牙齿缺失患者镶牙的首要选择,市场上,种植牙种类繁多,该怎样进行选择呢?哪种种植牙
很多顾客在咨询时都会问到种植牙会不会有什么危害?会不会有什么不良反应呢?会不会影响其他牙齿呢?下面我们来简单介绍一下,种植牙到
很多顾客在咨询时都会问到种植牙会不会有什么危害?会不会有什么不良反应呢?会不会影响其他牙齿呢?下面我们来简单介绍一下,种植牙的
在线预约
医生团队
在线QQ
来院路线
种植中心
矫正中心
修复中心
牙周中心
儿童齿科
美白中心
检测中心
口腔健康