FILL TOOTH
龋齿的易发人群就是儿童,因为多数的儿童现在还不懂得注意口腔的卫生,但在孩子发生龋齿这种情况时,家长也是需要带着孩子去进行治疗的
窝沟封闭就是把牙面的窝沟点隙封闭起来以达到预防龋齿的目的,也是帮助儿童预防龋齿的一种非常有效的方法那么,预防龋齿做窝沟封闭多
现在生活质量越来越好了,儿童因为吃的糖分过多,所以越来越多的儿童患有龋齿,虽说这种疾病是非常容易简单的,但是如果没有得到及时的
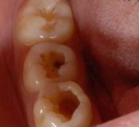
龋齿就是一种口腔疾病,生活中我们一般都叫做蛀牙,龋齿一般发病开始在牙冠,如不及时治疗,病变继续发展,形成龋洞,终至牙冠破坏消失
蛀牙,一种常见的口腔疾病,时刻困扰着我们。在日常生活中人们也常常因为蛀牙造成疼痛,寝食难安。那么,治疗儿童龋齿有哪些方法?接下
龋齿应该及时修复吗?维乐口腔指出,龋齿应该及时修复龋齿一般是换牙前后的幼儿比较容易患上的口腔疾病,是没有注意口腔卫生,口腔清洁
在线预约
医生团队
在线QQ
来院路线
种植中心
矫正中心
修复中心
牙周中心
儿童齿科
美白中心
检测中心
口腔健康